Menu principale:
Ortopantomografia Sirona
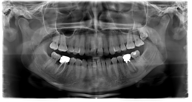
Ortopantomografia Digitale Standard stampa su pellicola

ORTOPANTOMOGRAFIA
L’Ortopantomografia o Radiografia Panoramica delle Arcate Dentarie è un’indagine radiografica che utilizza i Raggi X.
L’indagine è eseguita mediante una apparecchiatura radiografica denominata Ortopantomografo con una tecnica radiografica denominata Tomografia ed evidenzia l’immagine delle Arcate Dentarie, dei Denti, delle Ossa Mascellari, della Mandibola, dei Seni Mascellari, del Canale del Nervo Mandibolare e delle Articolazioni Temporo-Mandibolari.
L’Ortopantomografia è utilizzata nell’ambito odontoiatrico e medico poichè permette di evidenziare patologie delle Arcate Dentarie, quali: Denti Inclusi, Cisti Mandibolari e Mascellari, Granulomi, Parodontopatie, Fratture dei Denti, fratture dei Mascellari; permette inoltre di evidenziare la presenza di tutti gli Elementi Dentari, la loro Forma e Posizione, la presenza di Carie Interdentale e di Carie al di sotto di otturazioni pregresse difficili da diagnosticare.

Ortopantomografia Digitale Rapporto 1:1 stampa su pellicola

